The landscape of food allergy treatment is undergoing a seismic shift. For decades, the only defense was strict avoidance and the constant presence of an epinephrine auto-injector. Today, we are witnessing the dawn of a new era—one where “treatment” is evolving into “prevention” and “long-term tolerance.”
Based on the research we reported in 2025, here are ten breakthroughs offering hope for a future free from the fear of anaphylaxis.
1. The “Reset” Button: A Novel Peanut Allergy Vaccine

Researchers at Imperial College London have successfully completed Phase 1 trials of a vaccine based on Virus-Like Particle (VLP) technology. Unlike traditional treatments that gradually desensitize, this vaccine aims to “reprogram” the immune system to recognize peanut proteins as harmless. In early trials, it showed remarkable safety, paving the way for a potential cure that offers long-term protection without daily doses.
2. A Silent Guardian: MIT’s Implantable Epinephrine Device

For many, the fear of an emergency is the fear of not being able to reach an EpiPen in time. MIT engineers have developed a quarter-sized implantable reservoir that can store and deliver epinephrine automatically or via remote trigger. This device, which can remain under the skin for up to a year, could revolutionize emergency care, providing a “built-in” safety net for those at risk of sudden, severe reactions.
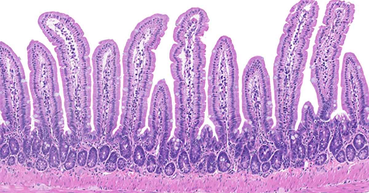
3. Precision Tolerance: The Discovery of RORγt+ Dendritic Cells

A groundbreaking study from Washington University School of Medicine has identified a specific population of immune cells in the gut—RORγt+ dendritic cells—that act as the body’s natural defense against food allergies. By understanding how these cells maintain tolerance, scientists believe they can develop therapies to “boost” their activity, potentially preventing food allergies from ever developing or reversing them in those already affected.
4. The IgE-K Vaccine: Training Your Body to Block Itself

Known as the “master switch” of allergies, IgE antibodies are what trigger an allergic explosion. The new IgE-K vaccine uses “kinoid technology” to train your own immune system to produce “home-grown blocking drugs.” These auto-antibodies neutralize IgE before it can ever trigger a reaction. Early research suggests a single course could provide up to a full year of protection, replacing the need for expensive bi-weekly injections.
5. Cracking the Code of Alpha-gal Syndrome

IgGenix is leading the charge against Alpha-gal Syndrome (AGS), the “red meat allergy” caused by tick bites. By using single-cell sequencing to identify the specific B cells and mast cell progenitors involved in the reaction, they are developing targeted monoclonal antibodies. This research not only offers hope for red meat allergy sufferers but provides a blueprint for treating other “acquired” allergies.
6. A New Pathway for Anaphylaxis: Beyond Histamine

Groundbreaking research from ASU and Yale has revealed that food-triggered anaphylaxis follows a different biological path than sting-triggered reactions. While we’ve traditionally focused on histamine, scientists found that leukotrienes are the primary drivers in the gut. Because leukotriene blockers (like certain asthma medications) already exist, this discovery could lead to the rapid approval of new, more effective preventive drugs for food allergies.
7. Stopping EoE at the Source: The TSLP Breakthrough

Eosinophilic Esophagitis (EoE) is a painful inflammatory condition driven by food allergies. Researchers at Tel Aviv University have identified a protein called TSLP as the “master regulator” of this disease. By neutralizing TSLP with specialized antibodies, they were able to dramatically reduce symptoms and, in some cases, prevent the disease entirely. This offers a potential biological cure for a condition that has long forced patients into extremely restrictive diets.
8. The Patch Returns: Viaskin Peanut Achieves Phase 3 Success

The Viaskin Peanut patch is back and closer to FDA approval than ever. Recent Phase 3 results from the “Vitesse” trial showed that nearly 47% of children (ages 4–7) achieved significant desensitization after one year. As a non-invasive, needle-free “wearable” treatment, the patch represents a major step toward making allergy therapy manageable for even the youngest and most needle-phobic patients.
9. Healing the Gut: Microbiome-Enhanced Immunotherapy

Boston Children’s Hospital is pioneering a trial that combines Microbiota Transplantation Therapy (MTT) with standard Oral Immunotherapy (OIT). The theory is simple: fix the gut to fix the allergy. By introducing a diverse community of healthy microbes into the digestive tract, researchers hope to create a more stable environment that makes immunotherapy safer, more effective, and more durable.
10. The mRNA Revolution: Custom Allergy Vaccines

Taking a page from the COVID-19 playbook, Nobel laureate Drew Weissman and teams at Penn Medicine are developing mRNA-LNP (lipid nanoparticle) vaccines for allergies. These vaccines instruct the body to produce specific proteins that “re-train” the immune system without the risk of an allergic reaction. This platform is incredibly flexible, meaning one day we could have custom-tailored mRNA shots to eliminate everything from peanut allergies to seasonal hay fever.
The Bottom Line: While the word “cure” has been used cautiously in the past, the convergence of mRNA technology, microbiome research, and targeted biologics suggests that the coming years will move us from managing symptoms to truly resolving the underlying causes of food allergies. The hope for a safer, “allergy-free” world has never been more tangible.
